セラミック
セラミック

当院では、健康的で美しい口元を実現するために、審美歯科の中でも特にセラミック治療に力を入れております。歯の形や色、並びにお悩みのある方に対して、見た目の美しさだけでなく、機能性・耐久性を兼ね備えた治療をご提案しています。セラミック治療とは、歯の被せ物や詰め物に、自然な歯に近い色調と質感を持つ「セラミック素材」を用いて行う治療です。保険診療の素材では難しかった細やかな審美性の追求が可能となり、当院では多くの患者様から選択いただいております。
当院では、見た目の美しさや口元の印象を改善したいという患者様から、日々さまざまなご相談をいただいております。以下は、セラミック治療をご希望される方に多く見られるお悩みや症状の一例です。
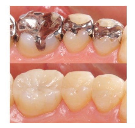
「笑ったときに銀歯が見えるのが気になる」「口を開けると銀歯が目立つ」といったご相談は非常に多くあります。保険診療で使われる金属製の被せ物は、耐久性はありますが、見た目に違和感が生じることがあります。セラミックに置き換えることで、自然で美しい白さを実現することが可能です。
前歯の形が左右非対称だったり、色にばらつきがあると、口元の印象に大きく影響します。「写真に写るときに自信が持てない」「歯の色がくすんで見える」といったお悩みには、ラミネートベニアやオールセラミッククラウンによる治療が有効です。
以前治療したレジンや金属の詰め物が変色していたり、歯と詰め物の間にすき間ができてむし歯になってしまうケースもあります。セラミックに置き換えることで、見た目の改善はもちろん、再治療のリスクを減らすことも期待できます。
前歯のすき間が気になる、矯正するほどではないけれど形を整えたいといったご相談には、ラミネートベニア、オールセラミッククラウンがよく選ばれます。短期間で自然な仕上がりが可能です。
保険診療の被せ物には金属が使われているため、アレルギーや歯ぐきの黒ずみの原因になることがあります。セラミックは金属を使わないメタルフリー治療が可能で、アレルギーの心配が少なく安全な素材です。
セラミック治療とは、詰め物・被せ物にセラミック(陶材)を使用することで、天然歯に近い自然な見た目と高い耐久性を実現する治療法です。素材の進化とともに、審美歯科の分野で高い人気を誇る治療となっています。

オールセラミック
すべてセラミックで作られたクラウン(被せ物)。透明感が高く、前歯など目立つ部位に適しています。

ジルコニアセラミック
内部にジルコニアという高強度のセラミックを使用し、外側にセラミックを焼き付けた被せ物。自然な見た目と高い強度を両立し、奥歯にも使用可能です。

セラミックインレー/アンレー
むし歯治療後の詰め物として使用されるセラミック。部分的な補修にも対応し、見た目も自然です。

ラミネートベニア
歯の表面をわずかに削り、薄いセラミックを貼り付けて形や色を整える方法。歯の色、形、すき間などを改善します。
透明感があり、天然歯のような質感
コーヒーや喫煙による着色が起こりにくい
メタルフリー治療が可能
歯肉とのなじみが良く、黒ずみが起こりにくい
適切なケアをすればむし歯になりにくく、再治療の回数を減らすことができます。
セラミック治療は、見た目の美しさだけでなく、機能性と安全性を兼ね備えた治療法です。むし歯やかみ合わせの状態によっては、保険治療と比較しても非常に高い満足度、安心感が得られます。
セラミック治療は、一人ひとりのお口の状態やご希望に合わせて、段階的に丁寧に進めていきます。以下は、当院における一般的な治療の流れです。
1
カウンセリング・初診
まずは患者様のお悩みやご希望を詳しくお伺いし、お口の中を診察します。必要に応じてレントゲン撮影や写真撮影を行い、治療の方向性を共有します。セラミックの種類や仕上がりのイメージ、費用、治療期間などをわかりやすくご説明します。
2
治療計画の立案
口腔内の状態やかみ合わせ、他の歯との調和などを踏まえた上で、治療内容とスケジュールを決定します。素材選びや色の調整もこの段階で行います。
3
歯の形成・仮歯の装着
セラミックを装着するために、歯の表面を必要最小限削ります。その後、仮歯(プロビジョナル)を装着し、見た目やかみ合わせを調整します。仮歯の期間中に不具合があれば調整が可能です。
4
セラミックの製作
歯科技工所で、精密なセラミックの被せ物・詰め物を製作します。当院では、信頼のおける技工士と連携し、高品質で自然な色調を再現します。
5
セラミックの装着
仮歯を外し、完成したセラミックを装着します。かみ合わせや色合い、形に問題がないかを確認し、最終的に接着します。見た目も自然で違和感のない仕上がりを目指します。
6
メンテナンス・定期検診
治療後も、3〜4ヶ月に一度の定期検診とクリーニングをおすすめしています。セラミックを長持ちさせるためには、患者様ご自身のセルフケアと歯科医院でのプロフェッショナルケアが大切です。
セラミック治療以外にも様々な治療も得意としておりますのでお気軽に些細なことでもご相談いただければと思います。